Dán sứ veneer có tốt không? Giải đáp chi tiết về phương pháp dán veneer cho răng – phương pháp thẩm mỹ răng được nhiều người lựa chọn hiện nay.
Dán veneer cho răng là gì?
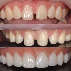
Dán sứ veneer là phương pháp thẩm mỹ nha khoa hiện đại giúp cải thiện tình trạng răng ố vàng, sứt mẻ, răng thưa nhẹ,… bằng cách dán một lớp sứ mỏng lên bề mặt răng thật. Phương pháp này đang được ưa chuộng vì mang lại hiệu quả thẩm mỹ cao mà không cần mài răng quá nhiều.

Nhiều người thắc mắc rằng: ‘Phương pháp dán veneer răng có cần mài không?’ Câu trả lời là tuỳ thuộc vào tình trạng răng mỗi người. Thông thường, với trường hợp răng thưa khoảng lớn, dán sứ không cần mài răng. Ngược lại, với tình trạng sứt mẻ, khấp khểnh nhẹ, việc mài răng là cần thiết. Tuy nhiên, tỷ lệ mài răng khi thực hiện dán sứ chỉ từ 0.3 – 0.5mm. Bác sĩ chỉ mài nhẹ bên ngoài bề mặt răng và điều này không ảnh hưởng đến ngà răng và tuỷ răng.
>>XEM THÊM: DÁN RĂNG SỨ VENEER CÓ MẤY LOẠI?
Dán sứ veneer có tốt không?
Nhiều người lo ngại dán sứ Veneer có tốt không, có ảnh hưởng đến răng thật hay không. Dưới đây là những ưu điểm nổi bật của phương pháp này:
- Giữ nguyên răng thật: Chỉ cần mài mỏng một lớp men răng (nếu cần), không xâm lấn nhiều.
- Tính thẩm mỹ cao: Răng sau khi dán sứ có màu sắc trắng sáng tự nhiên. Hơn nữa, phương pháp này còn cải thiện hình dáng răng đẹp và hài hoà với khuôn mặt.
- Độ bền cao: Nếu chăm sóc đúng cách, răng sứ veneer có thể bền từ 10 – 15 năm, thậm chí suốt đời.
- Không gây ê buốt: Nhờ việc mài răng với tỷ lệ rất ít nên răng sau khi dán sứ đảm bảo chức năng ăn nhai như răng thật. Đặc biệt, một số nha khoa hiện nay sử dụng công nghệ hiện đại giúp hạn chế tối đa việc mài răng.

Bên cạnh những ưu điểm vượt trội đó, phương pháp này lại có chi phí cao hơn so với bọc răng sứ thông thường và không phù hợp với những trường hợp răng bị hư tổn nặng.
>> ĐỪNG BỎ LỠ: GIẢI PHÁP THẮC MẮC: RĂNG SÂU CÓ DÁN SỨ ĐƯỢC KHÔNG?
Địa chỉ dán veneer cho răng uy tín
Với nhu cầu làm đẹp ngày càng tăng, đặc biệt về chăm sóc nụ cười. Nha khoa thẩm mỹ xuất hiện ngày càng nhiều. Ước tính hiện nay có hơn 100.000 cơ sở nha khoa trên toàn quốc. Vậy, làm thế nào để lựa chọn địa chỉ dán veneer uy tín?
Hiểu được những khó khăn của bạn đọc trong việc lựa chọn nha khoa để thực hiện dán sứ, reviewnhakhoa.vn đã dành thời gian tìm hiểu và trải nghiệm để đưa ra những gợi ý tốt nhất. Trong đó, Nha khoa Sunshine được đánh giá là địa chỉ dán sứ veneer uy tín hàng đầu, bởi những lý do sau:

- Đội ngũ bác sĩ chuyên môn cao, trên 15 năm kinh nghiệm. Hàng ngàn ca dán sứ được thực hiện thành công và dành được sự tin tưởng tuyệt đối từ khách hàng.
- Hệ thống nha khoa uy tín với 4 cơ sở trên toàn quốc. Gần 10 năm hoạt động trong lĩnh vực thẩm mỹ răng sứ.
- Áp dụng công nghệ dán sứ độc quyền không mài nhỏ răng.
- Chất liệu răng sứ cao cấp, 100% răng toàn sứ. Đảm bảo chức năng ăn nhai như răng thật với độ cứng gấp 5- 7 lần. Hiện nay, Nha khoa Sunshine có 3 loại răng sứ veneer tốt nhất thị trường như: Emax Press, Lisi Press và Ceramay Press.
- Bảo hành lâu dài, cam kết hiệu quả bằng văn bản.
Do đó, nếu quan tâm đến nha khoa Sunshine, bạn có thể liên hệ qua Hotline 091 168 68 20 để được giải đáp.
>> TÌM HIỂU: Review Nha khoa thẩm mỹ Sunshine: Chi phí, chất lượng, tay nghề bác sĩ
Lưu ý khi dán veneer răng
Để mang lại hiệu quả tốt nhất, trước khi dán veneer răng, bạn cần lưu ý một số điều sau:
- Lựa chọn nha khoa uy tín để đảm bảo chất lượng và an toàn.
- Chăm sóc răng đúng cách để bảo vệ răng miệng và kéo dài tuổi thọ răng sứ. Đánh răng 2 lần/ngày, hạn chế ăn thực phẩm cứng và đậm màu. Đặc biệt, nên hạn chế hút thuốc lá để giữ màu răng tốt nhất.
- Tái khám định kỳ sau khi dán veneer cho răng rất quan trọng. Thông thường, sau khi làm răng, bác sĩ sẽ hẹn khách hàng 6 tháng đến tái khám. Điều này giúp phát hiện và xử lý sớm các vấn đề phát sinh.
Vậy, dán sứ veneer có tốt không? Câu trả lời là CÓ, nếu bạn lựa chọn nha khoa uy tín như Nha khoa Sunshine. Đây là phương pháp giúp bạn sở hữu nụ cười đẹp tự nhiên, bền lâu mà không ảnh hưởng đến răng thật.
Review Nha Khoa Việt Nam Review Nha Khoa Việt Nam